December 29, 2021
We just wanted to get out of the house. Well really, my daughter did. I would have been more than content to sit by the rainy window reading and/or binge-streaming for the whole rest of my life. But it was nearing the end of winter break, and my girl needed a break from breaking. She asked if we could go to Taco Bell, which is cheap but pleasing fare, and I agreed. Our closest lobby was closed at the time, so on a lark, we decided to take our food to picnic in a nearby state park.
The picnic shelter where we had our snack was altogether lovely. Someone had been in there enjoying a fire earlier, and a few embers still glowed faintly in the stone hearth, presenting us with the faintest aroma of camp smoke amidst the sound and smells of the rain. We ate, we breathed, we chatted. It was the perfect escape.
As we made our way back to the car, I strayed just a touch too far from the path and misjudged the height of the lip from the to parking lot. I didn’t realize until it was too late that I was falling backwards. In my memory, the fall was a slow, gentle roll onto my back and into the mud. I can still picture the trees overhead, how the rain splashed on my face, the feel of the mud soaking into my shirt…and I was proud. Nothing hurt. I stood up feeling just fine, back intact, ankles ready to go, all was well…until I tried to pick up my keys. My hand started shaking, my grip wouldn’t hold, and a light but insistent pain settled into my wrist. I knew immediately that it was broken.
Two hours and three x-rays later, the doctor confirmed it. I don’t even remember touching the ground with my hand at all, but I must have tried to catch myself because I cracked my radius clean through just over an inch above my wrist. It was fully broken, but it never shifted out of alignment because it had also impacted into itself.
Here’s what a healthy radius looks like:

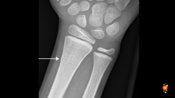
And here’s mine:

Clean, but unusable.
Thus began my foray into an excruciating four weeks of splints, casts, and pain. Pain was my constant hitchhiker, ever present and chattering into my brain no matter what I did. There was no distracting from it, no relieving it, no respite. If I moved, the injury hurt in waves and I would become fatigued almost instantly. If I kept still, my hand and fingers would begin to numb and I would go into a panic, clutching at the cast, certain my digits were doomed to rot and fall off.
The thing is, I was not fully aware of the pain’s powerful grip on me until it began to subside. I thought I was handling it all pretty well, actually. I required minimal support from my family to perform my daily functions, and I was giving myself a lot of grace for the things that would have to wait until later. I thought I was so healthy.
The truth began to reveal itself only as my hitchhiker’s hold loosened, then let go completely. I noticed I was no longer pulling and stretching my cast all the time. My intake of OTC pain relievers slowed from a steady stream of maximum doses to none at all. I stopped compulsively hugging and massaging my arm at every stoplight. Only as relief settled in did my self-awareness fully dawn, and I realized the depth of the darkness I’d been traveling, how desperate my spirit had become within it.
Once I sought help, received the proper treatment, and submitted myself to the process despite the discomfort it incurred, I could see the whole picture of my circumstances clearly and with encouragement. It had been bad, but it was getting better. I was getting better. I began to move from constant pain and projection to confidence in my treatment and my healing. Everything was going to be okay.
Little could I know what terrors lay just around the corner…
[insert dramatic transition music here]
Part 2 Coming Soon!



Can’t wait for part two.
LikeLike